症例紹介
症例紹介
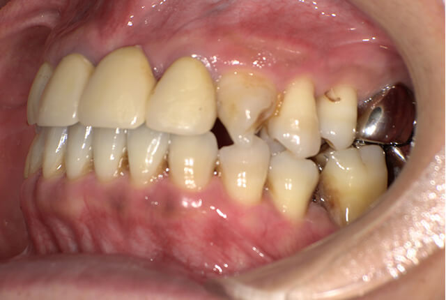
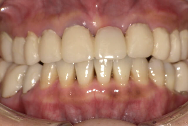
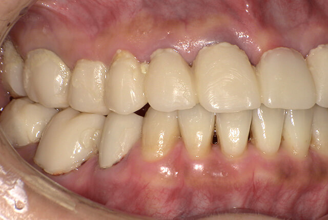
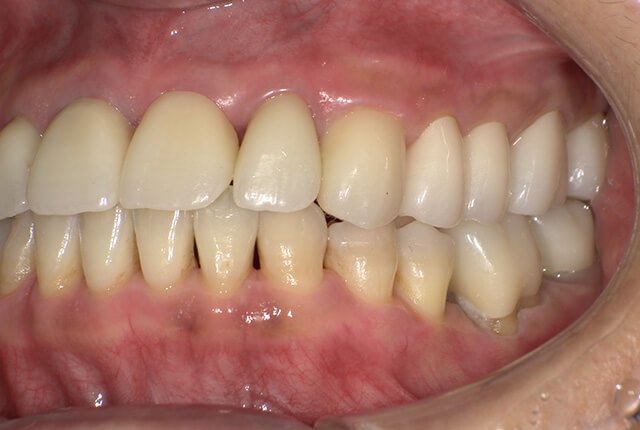
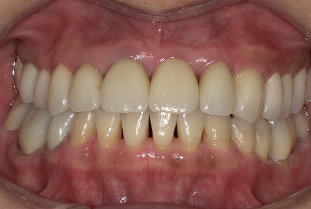
よく噛めず笑うと銀歯が目立つので気にされていました。








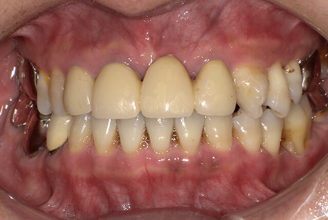
90分の治療で銀歯の状態からキレイな状態になります。噛み合わせの調整や審美面も使用しながら合わせます。






良く噛めて安心と、ご満足いただき大変嬉しく思います。笑顔も一層素敵になりました。








| 年齢・性別 | 61歳・女性 |
|---|---|
| 主訴 | ブリッジ脱離、しっかり噛めない |
| 診査診断 | 上顎歯牙欠損、歯周病、不良補綴、根尖性周囲炎。 不正咬合により噛み合わせのバランスが悪い事が原因により咬合治療が必要。 |
| 治療内容 | 欠損部インプラント 不正咬合に対し不良補綴のやり直しと合わせて咬合再構築 |
| 治療期間 | 4ヶ月 |
| 費用 | 200万円 |
| リスク | インプラントや被せ物の治療には、腫れや痛み、感染、破損、ゆるみなどが起こる可能性があります。 |
















| 年齢・性別 | 69歳・女性 |
|---|---|
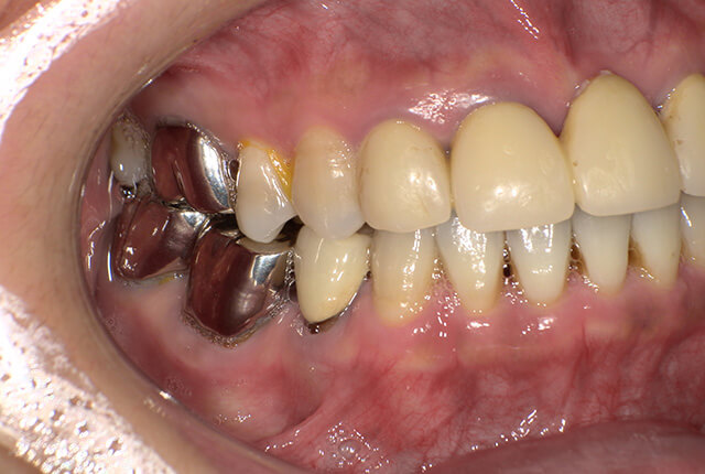
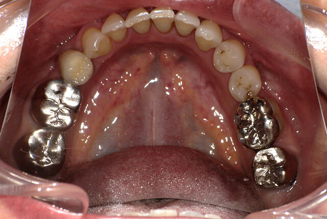
| 主訴 | 噛めない、食事がしっかりできる様になりたい。 |
| 診査診断 | 歯周病、歯の崩壊、不良補綴。 全顎的咬合異常、前歯の噛み合わせ、奥歯の噛み合わせに問題あり。 |
| 治療計画 | 欠損部インプラント 不良補綴のやり直しと欠損部インプラント。 咬合の再構築、なるべく歯を残せる様に治療計画を立案。 |
| 治療期間 | 6ヶ月 |
| 費用 | 290万円 |
| リスク | 一般的なインプラントのリスク、抜歯のリスク |
TOP
ときわ台駅前永井歯科医院は、板橋区ときわ台駅から徒歩1分にある歯医者です。通院しやすさに配慮し、土曜日診療や完全予約制を採用しています。
一般歯科をはじめ、インプラント、矯正歯科、ホワイトニング、セラミック治療、クリーニング、定期健診など幅広い診療内容に対応しています。診療にあたっては、お口の状態を確認したうえで、治療方針についてご説明しています。
噛み合わせにも配慮した診療を行い、検査結果をもとに治療内容について丁寧にご案内しています。
事前のカウンセリングでは、治療内容や費用、通院回数などについて説明を行い、安心して受診いただけるよう心がけています。
板橋区やときわ台周辺で歯科医院をお探しの方は、お気軽にご相談ください。