症例紹介
症例紹介
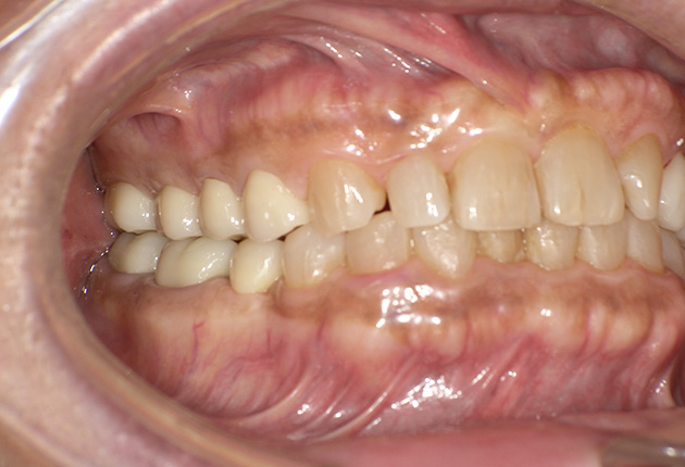
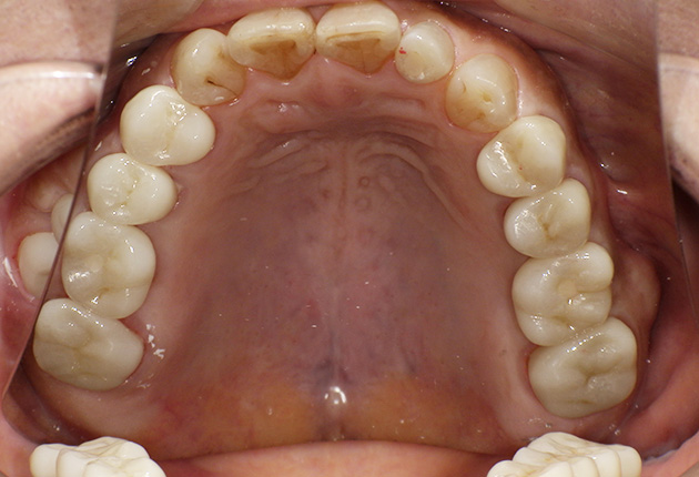
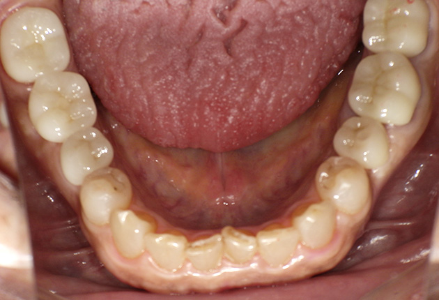
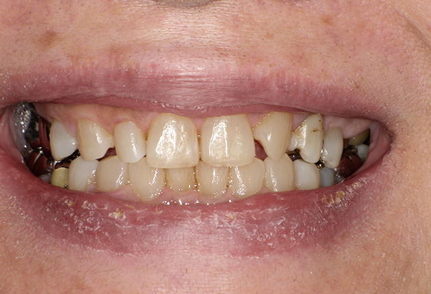
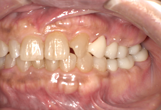
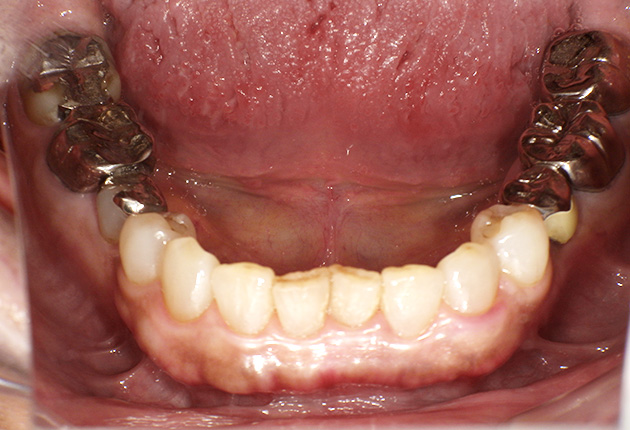
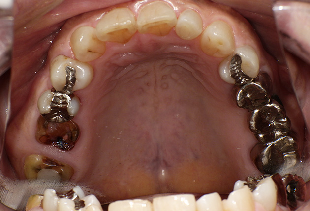
よく噛めず笑うと銀歯が目立つので気にされていました。








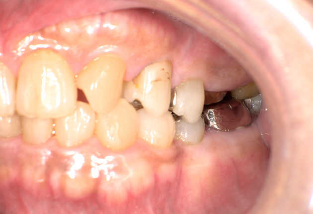
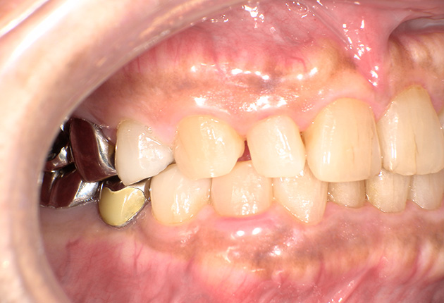
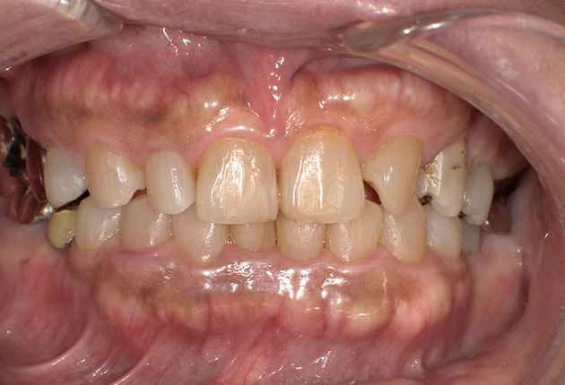
90分の治療で銀歯の状態からキレイな状態になります。噛み合わせの調整や審美面も使用しながら合わせます。






良く噛めて安心と、ご満足いただき大変嬉しく思います。笑顔も一層素敵になりました。








| 年齢・性別 | 61歳・女性 |
|---|---|
| 主訴 | ブリッジ脱離、しっかり噛めない |
| 診査診断 | 上顎歯牙欠損、歯周病、不良補綴、根尖性周囲炎。 不正咬合により噛み合わせのバランスが悪い事が原因により咬合治療が必要。 |
| 治療内容 | 欠損部インプラント 不正咬合に対し不良補綴のやり直しと合わせて咬合再構築 |
| 治療期間 | 4ヶ月 |
| 費用 | 200万円 |
| リスク | インプラントや被せ物の治療には、腫れや痛み、感染、破損、ゆるみなどが起こる可能性があります。 |
TOP
ときわ台駅前永井歯科医院は、板橋区ときわ台にある歯医者として、インプラント・ホワイトニング・セラミック・矯正・クリーニング・定期健診など、幅広い診療に対応しています。噛み合わせへの配慮を含む予防・治療計画をご提案し、患者様の歯をできるだけ残す方針を大切にしています。事前のカウンセリングを通して治療内容や費用を丁寧にご案内し、ご納得のうえで進めてまいります。